Centro odontoiatrico a Breno
Lo studio dentistico del Dr. Palazzoni a Breno è un centro specializzato in odontoiatria. Gli esperti odontoiatri sono pronti a prendersi cura del vostro sorriso con programmi appositi e con una forte attività di prevenzione.
Programma di prevenzione
Il programma di prevenzione è affidato alla Dott.ssa Laura Alessi, Igienista dentale, Laureata presso l’Università di Brescia. Eseguiamo test microbiologici personalizzati per individuare la classe di rischio alle carie dei nostri piccoli pazienti. Inoltre eseguiamo test diagnostici per la prevenzione della parodontite e perimplantite. Caposaldo della filosofia dello Studio è La PREVENZIONE delle patologie a carico dei denti e dei tessuti parodontali. Tale obiettivo viene ottenuto attraverso una sensibilizzazione dei Pazienti riguardo alle patologie del cavo orale in modo differenziato a seconda dell’età e della diversa condizione di salute generale e locale. Ai nostri piccoli pazienti viene consigliata la sigillatura dei solchi dei denti permanenti che consiste nel posizionare nei solchi dei denti, in genere i molari, una vernice protettiva, che eviterà il ristagno di residui alimentari e quindi lo sviluppo precoce di carie. Inoltre nella fase di permuta dentale, i bambini, vengono monitorati dall'ortodontista, un collega specializzato nello studio e nel trattamento della corretta disposizione ed armonia dei denti e delle ossa del viso, in modo da intercettare possibili malposizioni dentarie e ossee del complesso oro-facciale. Gli adulti vengono istruiti sulle tecniche di igiene orale adeguate alla propria condizione clinica, vengono dotati dei necessari strumenti e vengono richiamati periodicamente a seconda della situazione (ogni 3-6-12 mesi) con sedute di ablazione del tartaro, rimotivazione e controllo. Tale impostazione è fondamentale per il mantenimento dei risultati acquisiti e per la prevenzione di recidive.
Odontoiatria e conservativa
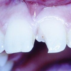
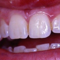
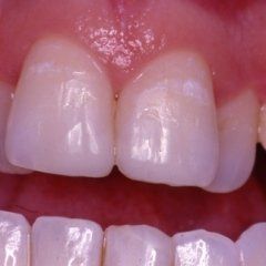
L’enorme diffusione ancora oggi riscontrabile della carie dentaria, unita a traumi, difetti di mineralizzazione o ipoplasie dello smalto determinano la necessità di dover ricorrere ad un restauro dei tessuti dentari lesionati. Il continuo miglioramento dei materiali e di conseguenza delle tecniche hanno altresì ampliato il raggio di azione della cosiddetta conservativa che con il ricorso al trattamento endodontico in caso di lesioni particolarmente gravi, occupa circa i due terzi dell’attività del dentista. In considerazione di questo fatto quindi, oltre all’evidenza che il trattamento restaurativo diretto è in genere il primo atto odontoiatrico che si effettua su una corona dentale lesionata, emerge la necessità che questa terapia sia ben eseguita ed in armonico rapporto con le strutture parodontali ed endodontiche.
Il trattamento endodontico
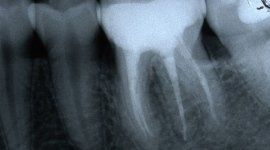
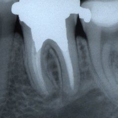
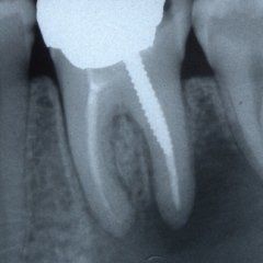
P3: Il trattamento endodontico si rende necessario quando la polpa del dente, comunemente chiamata dai Pazienti “nervo” è stata irrimediabilmente danneggiata da carie penetranti, fratture dentali, traumi o da cause imputabili a pratiche odontoiatriche scorrette. A volte la devitalizzazione del dente si rende necessaria, in corso di riabilitazioni protesiche complesse, per prevenire possibili problemi di ipersensibilità o per poter coinvolgere nel progetto terapeutico di recupero denti già di per se compromessi dal punto di vista parodontale. Presupposto per ottenere il successo in tale terapia è l’applicazione di un serio protocollo operativo che prevede tra l’altro l’uso di un telo di lattice, chiamato comunemente “diga”, che consenta la detersione e la pulizia dei canali del dente in un ambiente sterile e il controllo delle diverse fasi del trattamento attraverso delle radiografie endorali.



















