Terapie Ortodontiche a Breno
Lo Studio Dentistico Dr. Paolo Palazzini offre terapie ortodontiche per grandi e piccini.
Tutte le terapie sono indicate per recuperare la funzionalità e l'estetica naturale della bocca, migliorando la masticazione.

Ortodonzia per adulti
Negli adulti le terapie ortodontiche sono spesso espressione di piani di trattamento più complessi volti al recupero funzionale ed estetico della bocca.
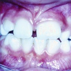
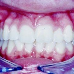
Ortodonzia per bambini
Nell’ambito dei servizi offerti dallo Studio del Dr. Palazzini, merita una menzione speciale la collaborazione con esperti specialisti di Ortodonzia. Grazie alla loro competenza è possibile intercettare nei bambini, in fase di crescita, lo sviluppo disarmonico delle basi scheletriche del viso guidando, tali strutture, con apparecchiature ortodontiche funzionali verso uno sviluppo armonico e proporzionato. Negli adolescenti che presentano malposizioni dentarie è possibile attraverso apparecchi ortodontici fissi, incollati cioè direttamente sui singoli denti, guidare tali denti verso una disposizione corretta, presupposto questo che consente una più facile igiene, per cui un ridotto rischio di carie, ed una estetica più piacevole.








