Medicina estetica non invasiva a Breno
Cos’è la Medicina Estetica non invasiva? Sono tutte quelle procedure che non prevedono interventi cruenti, chirurgici appunto, e si ripropongono come obbiettivo il ringiovanimento dei tessuti sottocutanei e cutanei di viso, collo e corpo. Sono tecnologie moderne che sfruttano dei principi fisici naturali, opportunamente veicolati ed elaborati che, come risultato, producono un ringiovanimento del paziente.
IGIENE ORALE per preservare il nostro sorriso...
"Il sorriso non è qualcosa di statico o di immutabile. Può essere migliorato con tecniche attuali. Ci può capitare di guardarci allo specchio e non essere soddisfatti dell’immagine dei nostri denti. Magari pensiamo che la soluzione al problema possa richiedere tanto tempo o un grande impegno economico. Forse non sappiamo che esistono delle nuove tecniche, che ci permettono di migliorarli."
Una igiene professionale non solo ci migliora la salute dentale e dell’intero organismo (la placca batterica dentale è responsabile di malattie del cuore e di gravidanza premature), ma rende i denti molto più attraenti. Elimina le macchie causate da fumo, caffè, vino e tutte le sostanze che, adese al tartaro e placca batterica, macchiano le superfici dei nostri bei denti
Sbiancamento dei denti
Lo sbiancamento dentale è una delle procedure di estetica dentale più sicure e meno invasive. Il dente non si danneggia, anzi pare proteggersi più efficacemente dalla carie (Il trattamento è indirizzato ai soli denti naturali, le otturazioni e le corone protesiche non si sbiancano). Dovete decidere solo quanta pazienza avete e sappiamo offrirvi il metodo più idoneo.

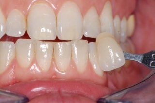
Otturazioni estetiche
Le otturazioni estetiche permettono di ripristinare il sorriso in caso di carie o di fratture dentali. A volte si rendono necessarie, insieme agli intarsi e alle faccette in ceramica, per sostituire vecchie otturazioni in “piombo” infiltrate o vecchi compositi discolorati. Queste procedure precocemente realizzate possono ridurre l’utilizzo delle “capsule”, che rimuovono una grossa quantità di dente.
RINGIOVANIMENTO DEL VISO: Radiofrequenza
La radiofrequenza è lo strumento ideale per intervenire su rughe, lassità cutanea, cellulite con efficacia di risultato e stabilità. Il trattamento, infatti, generato un campo elettromagnetico a frequenze che variano da 520 a 700 Khz, stimola i processi fisiologici naturali del metabolismo tessutale agendo dall'interno e migliorando l'afflusso arterioso e il deflusso venoso linfatico. Il manipolo del MedRF viene fatto scorrere sull'area da trattare sino a produrre un riscaldamento omogeneo, sia superficiale che profondo, a livello del segmento corporeo trattato. Nel viso il calore raggiunge la stratificazione dermica profonda e produce una biostimolazione che ripristina l'elasticità tessutale attraverso la nuova produzione di fibre di collagene; vi è inoltre un ricompattamento delle stesse con effetto lifting immediato, che migliore progressivamente nel tempo. Nel corpo si raggiungono dai 2 ai 4 cm di profondità in modo che il calore agisca su grasso e cellulite esercitando un effetto lipolitico, drenante e di rimodellamento.
Metodo NON invasivo: luce pulsata. TRATTAMENTO VISO E CORPO - IL POTERE DELLA LUCE
L'utilizzo della luce pulsata garantisce epilazione permanente, fotoringiovanimento cutaneo e cura di inestetismi della pelle.
Efficace e non invasiva, prevede l'utilizzo di una fonte di energia luminosa che agisce in profondità, permettendo di circoscrivere l'azione della sola zona interessata, preservando i tessuti adiacenti. È estremamente efficace nell'epilazione definitiva: l'energia luminosa viene assorbita dal pelo e dal suo follicolo e trasformata in energia termica che disattiva il bulbo. Il tessuto trattato è sollecitato anche negli strati più interni, con un aumento di collagene e una naturale rigenerazione cutanea.
I filler
La pelle giovane è costantemente nutrita dall’acido ialuronico, una sostanza presente in natura, che assorbe umidità e mantiene la pelle ben idratata per un aspetto tonico e fresco. Invecchiando la pelle perde acido ialuronico e comincia a diventare secca ed il volume diminuisce. L’età, gli ormoni, l’esposizione al sole e il fumo contribuiscono ulteriormente a far sì che la pelle diventi più fragile e perda elasticità, inoltre i movimenti muscolari del viso contribuiscono a far sì che le linee di espressione si trasformino in rughe.
Le più comuni sono le linee delle labbra dette codice a barre, le pieghe naso-labiali, le rughe della marionetta al lato della bocca, le pieghe frontali del corrugamento e le zampe di gallina intorno agli occhi. Anche le labbra perdono volume, diventano più sottili e i contorni sono meno definiti. Con i filler dermici a base di acido ialuronico è possibile trattare gli inestetismi legati ai processi fisiologici dell’invecchiamento. Il gel viene iniettato con un ago ultrasottile nella pelle a diverse profondità e con consistenze diversificate con la finalità di aggiungere volume ai tessuti e quindi distendere pieghe e rughe cutanee. Le labbra vengono rese più piene, le proporzioni tra labbro superiore ed inferiore vengono ripristinate e i contorni vengono maggiormente definiti. La cute e le labbra della paziente viene resa meno sensibile con l’applicazione di creme anestetiche in questo modo il trattamento ringiovanente si realizza in modo più confortevole. Poche e semplici regole dovranno essere seguite dopo il trattamento per godere pienamente del risultato estetico. I materiali utilizzati sono assolutamente biocompatibili, sicuri e certificati per un risultato soddisfacente e naturale.
Skin Up anti aging
SKIN UP è un dispositivo portatile per la cura profonda della pelle attraverso l'avanzata micro-tecnologia agli ioni. SKIN UP riduce in microparticelle i principi attivi disciolti in acqua creando un vapore rinfrescante composto da anioni che, spruzzati sul viso, penetrano efficacemente nella pelle e se ne prendono cura in profondità. La micro-tecnolgia atomizza le particelle d'acqua contenenti i principi attivi a base di acido ialuronico che in questo modo ne aumenta esponenzialmente la capacità di essere assorbiti con risultati impressionanti con un bellissimo e leggero strumento, grande come un telefonino.









